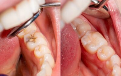
If you need a dental filling, you might be wondering how long it's going to...
Pain Free Dental Clinic
How Does A Dentist Fix A Chipped Tooth?
Whether you've bitten down on a hard surface, been involved in a car accident...
How Often Should You See A Dentist?
How often do we really need to see a dentist? It might be tempting to try and...
Dental Implants vs Dental Bridge: What’s the Difference
There are all sorts of reasons why people can end up with a missing tooth or...
Do Dental Crown Ever Need To Be Replaced?
A dental crown is placed over a tooth to restore its function, shape, and...
Gum Disease Diet: 5 Foods to Eat if You Have Gum Disease
Did you know that roughly half of all Americans suffer from some form of gum...
Back to School Dental Care Update
Ensure your child’s smile stays healthy! Learn essential back-to-school dental care tips and book a visit at Pain Free Dental Clinic today.
The Mouth-Body Connection: How Oral Health Impacts your Overall Health
Discover how oral health impacts your overall well-being. Visit Pain Free Dental Clinic for expert care and a healthier, happier smile today!
Is Fluoride Safe? The Pros and Cons
When most of us hear the word 'fluoride,' we automatically think of dental...
3 Dental Health Mistakes to Stop Today
Practising dental hygiene has become a normal exercise for dental health...
Caring for Young Teeth: Back to School Tips for Busy Parents
The back-to-school checklist can often seem never-ending, as parents scramble...
Gum Disease and Your Body
Have you been holding back on your oral care routine lately? It's important to...





